A 5-year-old boy was admitted due to fever for 6 days. He had no past medical history. Three days after onset of fever, the patient presented with strawberry tongue, fissured lips, cervical lymphadenopathy, nonpurulent conjunctivitis and without skin rash. On the fourth day, he developed bilateral lower limb edema , peeling of the skin of fingers and toes and oliguria with a poor general condition. He also had a 5 cm liver. The cardiopulmonary examination was normal.
Blood pressure was 110/63 mmHg. Biological tests showed leukocytosis (18000/mm 3 ), thrombocytosis (632000/mm 3 ), raised erythrocyte sedimentation rate (ESR) (96 mm/h), elevated C-reactive protein (CRP) (9.2 mg/l). His serum albumin was 1.2 gm/dl, proteinuria (urine protein: creatinine ratio was 11.4), hypercholesterolemia (320 mg/dl). Serum urea nitrogen and creatinine were in normal range.
Blood culture was sterile. The test for anti-streptolysin O antibodies was negative. Immunoglobulin M (IgM) of adenovirus was detected in blood by PCR. Serum IgG, IgA, complement component C3 and C4 were normal, IgE was increased significantly (10233.00 ng/ml, normal 0~691.40 ng/ml). Rheumatoid factor and anti-nuclear antibodies were negative. Chest X-ray was normal and the cardiac ultrasonography indicated non-dilated coronary arteries. The abdominal ultrasonography ruled out hepatomegaly, and echo enhancement was seen in renal parenchyma. There was no hydrocholecystis.
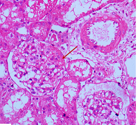
Based on the written consent of the child’s guardian, the child underwent renal biopsy.
Kawasaki disease (KD) (mucocutaneous lymph node syndrome) is systemic inflammatory disease that occurs predominantly in children younger than 5 years. It can develop multiple organ damage including coronary artery lesions, carditis, arthritis, hepatitis, central nervous system diseases, muscle involvement, and kidney and urinary tract involvement.
Nephrotic syndrome (NS) is a possible renal manifestation of KD. The pathogenesis of KD with NS has not been fully understood yet. There is an obvious immunoregulatory abnormality in acute phase of KD.
In our case, the renal biopsy was suggestive of mild-to-moderate MsPGN. Good prognosis to treatment with both steroids and MMF was reported.

